来源:河池市第三人民医院发布时间:2026-01-14作者:点击: 次
黔桂连心除“颈”疾!患者心诚赠锦旗。
近日,河池市三医院多学科协作,成功完成了一例高难度的颈椎4-5节段椎管内肿瘤手术,该手术的成功开展不仅标志着我院在神经外科和脊柱外科领域取得了新的突破,也将为广大患者提供了更优质、高效的治疗方案。

患者赠送锦旗表达谢意

患者情况
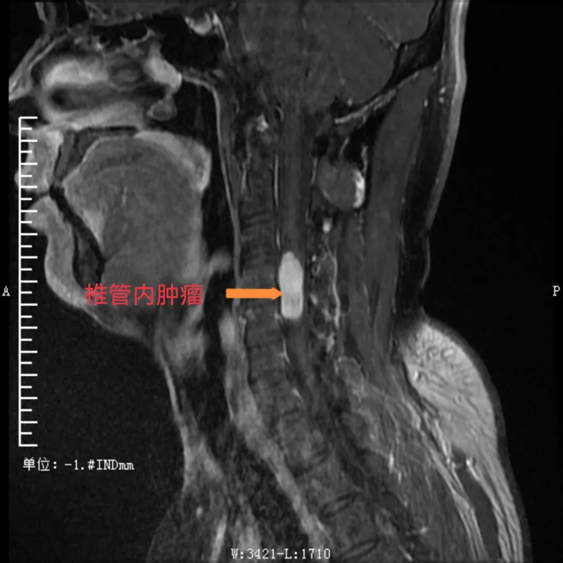
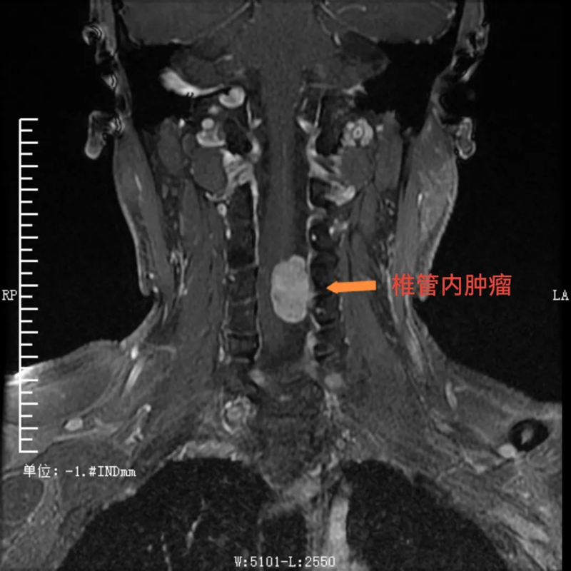
患者潘某(化名),是一位38岁的男性,一直被“左上肢感觉异常、乏力”的症状困扰8个多月。起初,他在贵州荔波县当地医院进行诊治,后根据患者意愿,转到河池市三医院神经外科接受进一步诊疗,到院后,经检查,明确了他的病因:原来是颈椎4-5节段椎管内长了肿瘤。这一肿瘤的存在严重影响了他的神经功能,导致了上肢的不适症状。对于患者来说,这无疑是一个沉重的打击。


术前,可见椎管内肿瘤
面对潘某的病情,河池市三医院的医务人员深知责任重大,立即安抚患者并提供心理疗法,积极为他制定治疗方案。医务部组织神经外科、脊柱外科、麻醉科、重症医学科等院内多学科MDT讨论,仔细研究患者的各项检查结果,不放过任何一个细节。考虑到颈椎部位的手术风险极高,稍有不慎就可能对患者的神经造成不可挽回的损伤。
创新手术方式
经过反复讨论和分析,最终决定采取神经外科与脊柱外科学科间联合手术的方式进行治疗。这一手术方式难度较大,在河池市极为罕见,对术者技术和临床经验要求较高,与常规的手术方式有着显著的不同。

手术过程中,先由脊柱外科团队采取“单开门”的方式打开经4、5节段左侧椎板并向右侧掀起。这种独特的操作方式能够充分暴露肿瘤区域,再由神经外科团队在显微镜下打开硬脊膜并完整切除肿瘤。手术顺利,如今患者已出院,本人及家属对手术效果相当满意,赠送锦旗表示感谢。


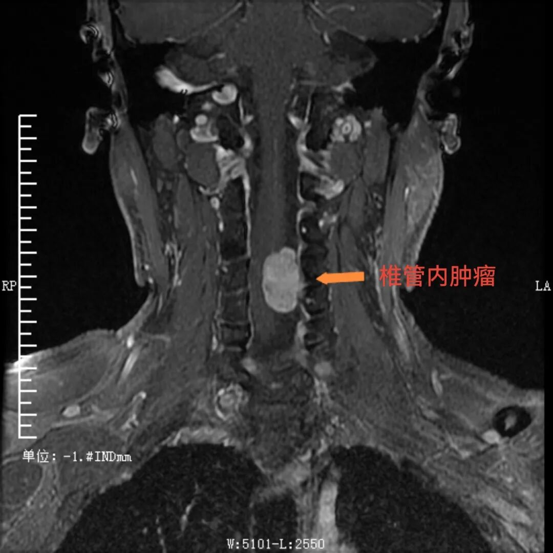
术后,肿瘤完全切除,受压脊髓回位
与传统手术需要完全切除肿瘤节段全椎板不同,这种新的手术方式术后仅需将掀起的椎板纳还并以丝线固定即可,无需使用金属连接耗材固定。这不仅使得复位效果更佳,而且患者在术后复查CT、磁共振时无金属伪影干扰,让检查结果诊断更准确,还为患者节省了相当大的一笔费用。



椎板复位,未使用耗材固定,为患者节省费用
患者术后恢复良好(点击查看视频)
目前,我院神经外科与脊柱外科已经形成了常规的团队协作模式,这种协作模式在脊柱领域尤其是高难度颈椎管内肿瘤手术中发挥了巨大的作用。他们通过一次次的手术实践,积累了丰富的经验,给更多的患者带来了康复的希望,也为更多复杂的脊柱疾病患者提供更优质的治疗服务。
返回顶部