来源:河池市第三人民医院发布时间:2025-12-21作者:点击: 次
近日,河池市第三人民医院心血管内科团队成功为一名合并急性心肌梗死的高龄高危患者实施经导管主动脉瓣置换术(TAVR)。术后患者心功能显著改善并顺利出院,这一成果标志着我院在复杂心血管疾病救治领域再攀高峰,为众多患者带来了新的希望。

患者病情危急
77岁的卢奶奶(化名)因“胸痛、胸闷1周”被紧急送至医院。经过详细检查,确诊为急性非ST段抬高型心肌梗死,同时还合并重度主动脉瓣狭窄。心脏彩超显示主动脉瓣峰值压差达到104mmHg,平均压差为62mmHg,心功能已降至Ⅳ级。

病情十分危急,传统开胸换瓣手术创伤大、术后恢复周期长,且患者心梗后心肌受损,行常规外科手术的风险极高;而单纯药物治疗无法解决瓣膜狭窄的根本问题,患者随时可能因心力衰竭、恶性心律失常危及生命。
多学科联合会诊
在对卢奶奶进行急诊开通梗死相关冠脉治疗后,她仍反复出现胸闷不适的症状,医生考虑这与瓣膜病变相关。在心梗病情恢复稳定后,医院迅速组织了心血管内科、颈胸心血管外科、麻醉科、重症医学科、B超室等多学科专家开展联合会诊。各学科专家从不同的专业角度对卢奶奶的病情进行了全面评估,包括冠脉病变、心功能状态以及全身基础疾病等方面。
经过深入的讨论和分析,专家们一致认为传统的治疗方法并不适合卢奶奶,而经导管主动脉瓣置换术(TAVR)是一个可行的选择。然而,TAVR手术对于合并急性心肌梗死的患者来说,风险极大,需要兼顾冠脉血运重建与瓣膜置换的时机把控。这对团队的多学科协作能力和术者操作精度都提出了极高的要求。
手术顺利进行
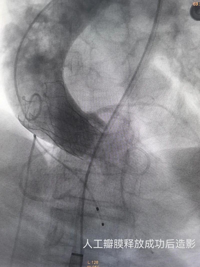
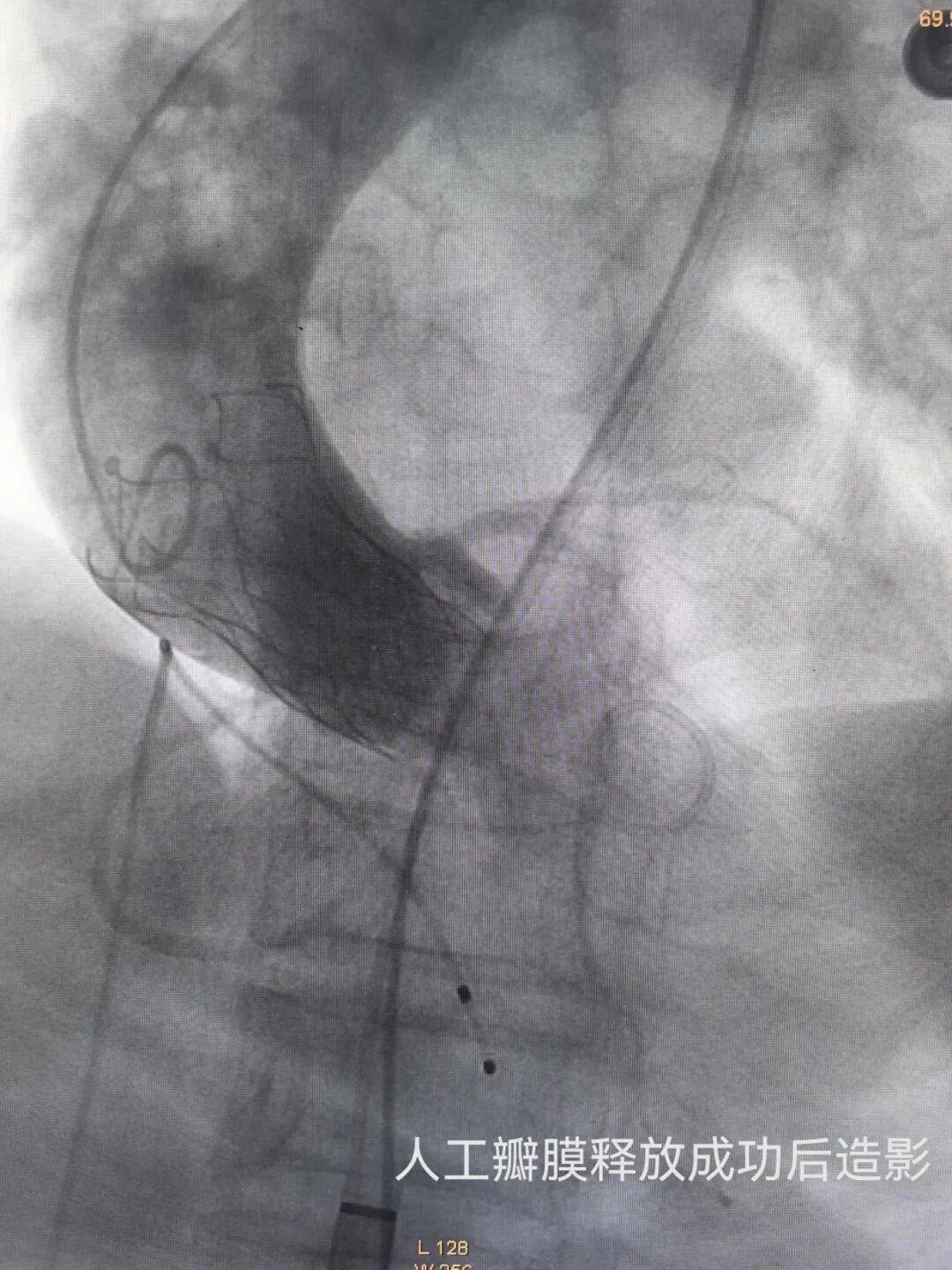
手术当日,在中山大学第一附属医院广西医院袁军教授的指导下,河池市第三人民医院心血管内科手术团队通过股动脉穿刺建立微创通路,将人工瓣膜精准送达患者病变主动脉瓣位置,在临时起搏器保护及实时造影监测下完成瓣膜释放。整个手术历时仅1小时余,术中患者生命体征平稳,几乎无明显出血。术后复查显示,人工瓣膜启闭功能良好,平均跨瓣压差降至15mmHg,术后症状明显好转。
如今患者已顺利出院,胸闷、胸痛症状明显消失。家属感激并送来锦旗感谢。

手术优势与挑战
河池市三医院心血管内科主任韦东升介绍,TAVR手术优势显著,尤其适用于高龄、合并多种基础疾病的高危主动脉瓣狭窄患者。对于像卢奶奶这样的高龄患者来说,这种手术方式可以明显提高生活质量。然而,对于合并急性心肌梗死的患者,TAVR手术面临着巨大的挑战。


术前术后
手术需兼顾冠脉血运重建与瓣膜置换的时机把控,这要求手术团队具备多学科协作能力和高超的术者操作精度。在手术过程中,医生们不仅要考虑瓣膜置换的效果,还要确保冠脉血运的正常,避免出现心肌缺血等并发症。此次手术的成功,不仅为卢奶奶带来了生的希望,也为同类复杂病例的救治积累了宝贵经验。
此次成功救治案例,是医院突破高危心血管手术禁区的有力实践,也为区域内复杂心血管疾病的诊疗提供了有力保障。未来,医院将持续深耕微创心血管介入技术,为更多心血管疾病患者筑牢“心”防线。
返回顶部